
Wearing the wrong shoes can cause heel pain due to poor arch support, insufficient cushioning, or an improper fit. High heels or shoes with a rigid sole can strain the plantar fascia, the ligament connecting the heel to the toes, leading to discomfort. Shoes that are too tight or too loose can also cause friction and pressure points, resulting in heel pain. To prevent this, choose shoes with proper arch support and ample cushioning to absorb impact. Ensuring a correct fit is vital, as shoes should have enough room for your toes and provide a secure fit at the heel. Opt for shoes with a slightly raised heel and a flexible sole to support natural foot movement. These measures can alleviate heel pain and promote overall foot health. If you have heel pain that could be a result of wearing shoes that do not fit right, it is suggested that you consult a podiatrist who can offer you treatment solutions, and guide you toward wearing the right shoes.
Many people suffer from bouts of heel pain. For more information, contact Darline Kulhan, DPM of Scarsdale Foot Specialists PC. Our doctor can provide the care you need to keep you pain-free and on your feet.
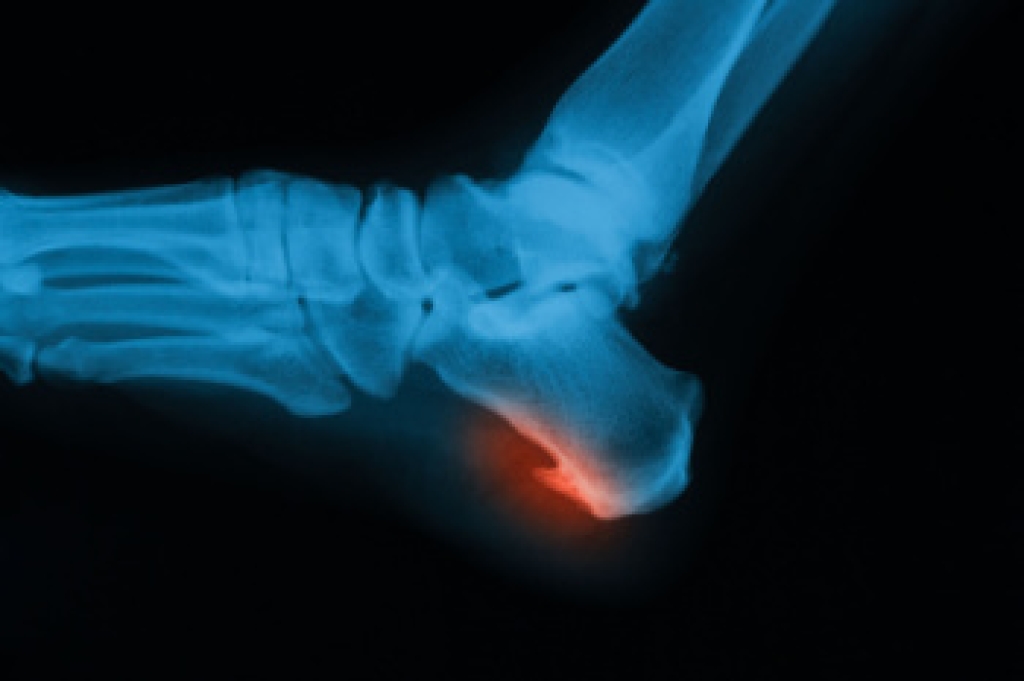
Causes of Heel Pain
Heel pain is often associated with plantar fasciitis. The plantar fascia is a band of tissues that extends along the bottom of the foot. A rip or tear in this ligament can cause inflammation of the tissue.
Achilles tendonitis is another cause of heel pain. Inflammation of the Achilles tendon will cause pain from fractures and muscle tearing. Lack of flexibility is also another symptom.
Heel spurs are another cause of pain. When the tissues of the plantar fascia undergo a great deal of stress, it can lead to ligament separation from the heel bone, causing heel spurs.
Why Might Heel Pain Occur?
- Wearing ill-fitting shoes
- Wearing non-supportive shoes
- Weight change
- Excessive running
Treatments
Heel pain should be treated as soon as possible for immediate results. Keeping your feet in a stress-free environment will help. If you suffer from Achilles tendonitis or plantar fasciitis, applying ice will reduce the swelling. Stretching before an exercise like running will help the muscles. Using all these tips will help make heel pain a condition of the past.
If you have any questions, please feel free to contact our office located in Scarsdale, NY . We offer the newest diagnostic and treatment technologies for all your foot care needs.
Cuboid syndrome
Rheumatoid arthritis